Stomatolog.com.mk - Д-р Нечаковски - Вашиот стоматолог на интернет  
 
Локација
Работно време
Услуги
Персонал
Вработување
Контакт
PRESS
За сајтот..
Ласерска
терапија (LLLT)
Порцелански
изработки
Продолжување на
клиничката коронка
За хијалуронските
полнители (филери)
За амалгамските
пломби
Имплантација
на заби
Фокални
заболувања
За кариесот
Пародонтопатија
Градба на забите
Бременоста и
  забите
Исхраната и
кариесот
Атеросклероза
За проблемите со
виличниот зглоб
Страв од
стоматолог
За хигиената
на устата
Криви заби
Фиксни протетски
  изработки
Забни протези
..за пирсингот
..за млечните заби
..за пломбирањето
Кандидијаза
Дијастема
Забна ерозија
Естетска стоматологија
-
Master Card
 
VISA
-
-
Забна ерозија

Забната ерозија се дефинира како процес на неповратно губење на тврдите забни ткива како резултат на хемиски случувања кои не вклучуваат бактериска активност. Овие хемиски процеси главно се состојат во растворање на минерализираните ткива на забите поради контакт со киселини.

Киселините во оралната празнина доаѓаат

од внатрешноста на организмот (од желудникот, поради гастро-езофагијален рефлукс (ГЕР) или често повраќање) или
од надворешноста (киселини кои ги има во храната, кисели пијалаци, лекови и сл.)

Симптомите при забната ерозија се

o појава на чувствителност на забите на надворешни стимулации – топло/студено, благо/солено итн.
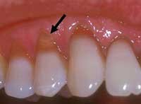
o промена на бојата на површината на забите, кај предните заби зголемена проѕирност (особено на секалниот раб)
o промена на изгледот на површината на забите
o промена на формата на забите

Во случаи кога процесот е напреднат и кога поради губење на премногу од забната структура се јавуваат и силни спонтани болки кои се резултат ана воспаление на забниот нерв – пулпитис

Причинители за појава на забната ерозија се киселините кои делуваат на површината на забите и предизвикуваат деминерализација. Забите имаат природен механизам за одбрана од деминерализацијата кој се состои во неутрализација на киселините и реминерализација на површините со помош на плунката. Заради ова, појава на забна ерозија е само во случаи кога постои поместување на динамичката рамнотежа на овие два процеси во прилог на деминерализацијата, односно кога има зголемено делување на киселини или намалено делување на одбранбените механизми.

Киселините кои потекнуваат од внатрешноста на организмот можат да бидат резултат на ГЕР, кој често може најпрво да биде дијагностициран поради промените на забите, односно забната ерозија.

Од киселините кои се внесуваат со храната, се истакнуваат оние кои се наоѓаат во газираните сокови. Овие производи се повеќе се консумираат од младата популација кај која често и не е завршена матурацијата на забите (процес кој трае во првите години по никнувањето на забите) и кај која ризикот е уште поголем. Во прилог на штетноста на газираните сокови оди и фактот што освен тоа што кај нив често се комбинирани повеќе различни киселини (фосфорна, лимонска, јаглеродна), присутен и шеќерот кој помага за развој на кариесот.

Најголем ризик за појава на ерозија на забите имаат

o лица кои често консумираат кисели пијалаци , газирани сокови
o лица кои често јадат кисела храна, овошје
o лица кои примаат одредени лекарства ( витамин Ц во форма за џвакање)
o лица кои често повраќаат
o лица кои имаат намалено лачење на плунка
o лица кои имаат ГЕР (Гастро-езофагален рефлукс)

Спречувањето на забната ерозија не се состои во целосно отфрлање на киселите производи, туку во нивно паметно консумирање:

o доколку се пијат кисели пијалаци, подобро е да се пијат со цевка (контактот со забите е помал)
o подобро е киселите пијалаци да се пијат наеднаш отколку да се пијат голтка по голтка
o после пиењето на овие пијалаци устата да се исплакне со вода
o поголемо консумирање на тврдо сирење кое има потенцијал на калциум и фосфор кои брзо можат да ги реминерализираат дефектите
o по консумирање на кисела храна, забите да не се мијат веднаш туку после најмалку еден час за да се даде време за природна реминерализација
o избегнување на таблети со витамин Ц кои се шмукаат
o џвакање на гуми за џвакање без шеќер (по можност со ксилитол)

Кај лица кај кои причината за забна ерозија е постоење на друго нарушување на здравјето (како ГЕР, намалено лачење на плунка, ксеростомија итн.) потребно е најпрво да се делува за лекување на тоа заболување а потоа на забната ерозија.

Третманот најпрво се состои во во откривање на причината за појава на забната ерозија а потоа во коригирање на настанатите проблеми. Решението зависи од степенот на појавувањето на проблемот. Доколку се работа за зголемена осетливост, се врши бондирање или премачкување на забите со флуориден лак (кој го зацврстува емајлот), или се препорачува паста за реминерализација на забите (како на пример GC Tooth Mousse) . Доколку се работи за понапредната фаза на болеста, се врши реставрација на дефектите на забите со пломби или целосно покривање на забите со коронки.

Забната ерозија е дел од група на промени на забните ткива кои резултираат со постепено и неповратно „трошење” на забите. Во оваа група спаѓаат:

o Атриција – губење на забното ткиво или трошење како резултат на контакт помеѓу забите при џвакање или парафункционални движења (чкрипење)
o Абразија – губење на забното ткиво како резултат на контакт со надворешна супстанца (четка за заби, паста за заби, гризење нокти и сл.)
o Абфракција – губење на забната површина во пределот на забните вратови (до непцето) како резултат на механички стрес поради делување на силите на истегнување и притисок при процесот на џвакање
o Ерозија (Корозија) - губење на тврдите забни ткива како резултат на хемиски процеси кои не вклучуваат бактериска активност.

Со оглед дека овие појави ретко се јавуваат поединечно и изолирано, најчесто кај ист пациент се забележуваат повеќе форми на губење на тврдите забни ткива, кои меѓусебно се комбинираат.

автор на тестот: д-р Александар Нечаковски 23.11.2017
последна измена: 23.10.2021

 

Верзија за печатење Покани пријател да ја види оваа страница

 
Стоматолошка ординација Д-р Нечаковски Ул. Филип Втори Македонски 54-1/1 Битола Тел. 047-254528, 070-312-264, 075-306-509